Чтобы получить бесплатную консультацию или забронировать, заполните пожалуйста, форму консультаций ...
Для получения дополнительной информации, пожалуйста, свяжитесь с нами.
Как глаза являются зеркалом души, так и красивая улыбка свидетельствует о внутреннем благополучии и здоровье человека. Улыбаясь, мы выражаем свои эмоции и чувства, устанавливаем контакты с окружающим миром и, в результате реализуем себя.

К сожалению, безупречную улыбку с белоснежными, ровно стоящими зубами природа дает не каждому из нас. Многие смиряются с этим, и это их выбор, но если Ваша цель — иметь здоровые ровные зубы и гармоничную улыбку — добро пожаловать в мир ортодонтии.
С помощью минимально инвазивных процедур и безболезненных методов лечения косметическая стоматология готова прийти на помощь каждому, кто не доволен своей улыбкой. Мы уверены, что каждый человек заслуживает иметь идеальную улыбку. Вы хотите улучшить свою улыбку, изменить цвет, форму или длину своих зубов, которая бы подчеркнула черты вашего лица.

Для создания идеальной улыбки важным критерием является - линия проходящая между передними центральными резцами на верхней челюсти. Она должна совпадать со средней лицевой линией. Иными словами зубы на одной стороне должны выглядеть зеркальным отражением таких же зубов на противоположной стороне челюсти.
Линия, проходящая режущего края верхних зубов должна быть параллельна горизонтальной линии глаз.
Линия улыбки, которая проходит по режущему краю зубов, должна следовать за линией нижней губы, в этом случае улыбка выглядит свежее и моложе.
Эта линия должна следовать за линией верхней губы, что гарантирует минимальное выставление десны и оптимальный показ зубов в улыбке.
Улыбка нормальной ширины позволяет видеть идеальную последовательность зубов, от центральных до боковых. При узкой улыбке часть зубов остается в тени и передние зубы кажутся стоящими одиноко.
Межзубные амбразуры - это маленькие треугольные пространства между боковыми поверхностями зубов. Без них зубы будут выглядеть как клавиши пианино. Амбразуры должны быть минимальными между двумя передними зубами и постепенно увеличиваться в сторону боковых зубов.
Золотая пропорцияЗолотая пропорция - математическое соотношение означает, что зубы выглядят наиболее гармонично, когда мы смотрим на них спереди, если видимые поверхности центральных и боковых резцов соотносятся как 1 к 1,618.
При создании идеальной улыбки, размер каждого зуба регулируется идеальной пропорции. Обычно, например, идеальное соотношение ширины к высоте из двух передних зубов 0,7: 1.
Можно изменить оттенок ваших зубов при моделировании новой улыбки. У нас есть различные цвета на Ваш выбор, чтобы создать вашу улыбку, которая будет выглядеть естественно .
Это медицинская процедура, результатом которой является изменение цвета зубов в сторону более светлого оттенка. С каждым годом отбеливание становится все более популярным, ведь белоснежная улыбка – это символ молодости и здоровья. При этом отбеливающие агенты становятся все безопаснее и эффективнее, а процедура – доступнее.
Несмотря на соблюдение правил гигиены рта с возрастом на зубах вырабатывается вторичный дентин, что и придает зубной эмали неприятную желтизну. Темные пятна на зубах могут появляться из-за попадания крови в дентин по канальцам и ее свертывания. Но чаще всего желтые пятна появляются на зубах из-за образования зубного камня или работы на вредном производстве. В этих случаях отбеливание зубов возможно только при отсутствии сильного повреждения эмали. Выбор способа лечения и отбеливания глубоких пятен на зубах производит стоматолог.
Широко распространенное поверхностное окрашивание зубов с жизнеспособной пульпой («нервом») является результатом употребления напитков и пищевых продуктов с высоким содержанием красителей. Табак вызывает желто-коричневое или темное окрашивание, обычно в пришеечной части и главным образом, на язычных поверхностях зубов. При жевании табак быстро проникает в эмаль и образует еще более темные пятна, а марихуана может давать четкие кольца в пришеечной части зубов рядом с десневым краем. Кофе и чай могут вызывать образование выраженных и стойких коричневых или черных пятен. Эти пятна, как и другие, вызванные сильно окрашенными продуктами, труднее всего удалять из ямок, бороздок или дефектов эмали.
Труднее всего отбеливанию поддаются внутренние пятна, которые образуются при проникновении окрашивающего вещества глубоко в ткани зуба в период его формирования.
Основным действующим компонентом отбеливающих систем являются окислители – чаще всего это перекись водорода или перекись карбамида. В отбеливающие системы могут входить средства, для того чтобы сделать эти препараты гуще – загустители; могут входить отдушки, чтобы препараты имели какой-то вкус. Хорошо, если в препарат входят фтор и другие средства для ремотерапии.

Отбеливание зубов широко используется сейчас стоматологами. И после тщательного обследования пациента врач может назначить отбеливание в клинике, для этого он приглашает пациента в кресло, назначает ему средства, которые имеют достаточно высокую концентрацию. Эти средства могут быть небезопасны для слизистой оболочки полости рта, поэтому врач обязательно защищает десну, губы, руки пациента, свои руки, глаза. Эти средства можно использовать только в кабинете врача, и никаким образом не применять их в домашних условиях. Его можно назвать более агрессивным, потому что мы используем высококонцентрированные средства, но это все компенсируется за счет проведения ремотерапевтических мероприятий, и при соблюдении всех правильных условий для зубов пациента безопасно. Врач может назначить отбеливание в домашних условиях. В этих случаях врач обследует пациента, проводит некоторые манипуляции в кабинете, в частности он изготавливает индивидуальную каппу, и дает назначение домой. В домашних условиях пациент проводит отбеливающие процедуры и приходит к врачу через неделю или через 10 дней на прием для наблюдения за происходящими результатами отбеливания. При домашнем отбеливании обычно содержится от 3% до 7% отбеливающего перекиси водорода , в то время как отбеливание зубов у стоматолога содержат 15% - 43%.
Внутреннее или эндодонтическое отбеливание зуба проводится в том случае, если зуб изменил свой цвет в результате депульпирования с не полной пульпотомией. Суть отбеливания заключается в создании камеры для отбеливающего препарата внутри коронковой части зуба с удалением органических остатков пульпы и излишков пломбировочной пасты.
Для того чтобы процедура прошла безопасно, эффективно и максимально безболезненно, необходимо проводить отбеливание у профессионального стоматолога.
Если вы чувствуете, что вашим зубам необходимо отбеливание, наши специалисты проведут тщательное обследование и подбор вида отбеливания.
Используя современные нано-композитные технологии, восстановить потерянный зуб можно даже в том случае, когда осталась только частичка зуба. Реставрация жевательных зубов также позволяет изменить или скорректировать форму зубов (сделать их более узкими, или широкими, удлинить или укоротить). Благодаря косметической реставрации зубов стало возможным устранить щели между зубами и восстановить зубной край, который с возрастом стирается, не зависимо от здоровья самого зуба.
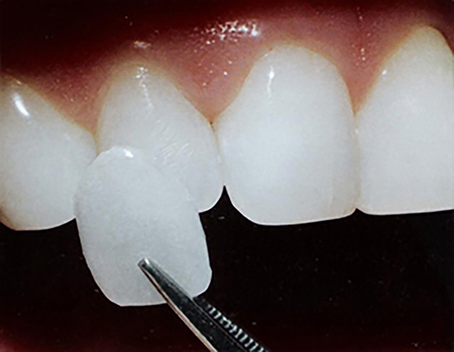
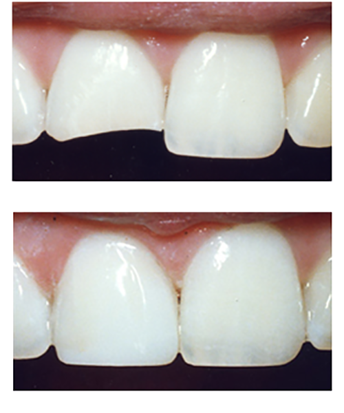
Виниры - выполняются в виде тончайших пластин, предназначенных для облицовки зубов пациента. Чаще всего ультратонкие конструкции требуются, если зубы нестандартного цвета, имеют разрушения или неправильную форму. С развитием материалов и технологий, виниры в стоматологии стали делать из многих материалов – керамики, оксида циркона и композита. Виниры после установки позволяют вернуть зубам естественный оттенок, анатомию, без применения коронок, и, кроме этого, позволят организовать надежную защиту зубов с приданием им повышенной прочности, устойчивости к агрессивным воздействиям.
Фарфоровые виниры, по сравнению с другими видами стоматологических реставраций, имеют два основных преимущества:
Стоматологические зубные накладки или зубные вставки применяются в тех случаях, когда имеется значительное разрушение зуба и его восстановление при помощи композитных материалов невозможно. В таком случае используются вкладки и накладки (inlay и onlay). Также вкладка может применяться и как опора для съемного или несъемного протеза.

Идеальные кандидаты для установления накладок или вставок - это пациенты, которые имеют много повреждений в структуре зубов или кариес. Лечение происходит с помощью установления пломб, если у пациента достаточно здоровых зубов, и нет необходимости в установке коронки. Это позволяет стоматологу, сохранить как можно больше изначальной структуры зубов пациента.
Есть и другие преимущества вкладок и накладок в сравнении с металлическими пломбами:
Стоматологические вкладки и накладки используются, когда старые пломбы должны быть удалены или заменены. Стоматологическая вкладка похожа на пломбу и помещается внутрь выступа (верхнего края) зуба. Зубная вкладка более обширна и распространяется по острым выступам зуба.
Во время лечения стоматолог удаляет старые пломбы под местной анестезией и делает слепок зуба, который посылают в лабораторию. Новые вкладки и накладки изготавливают из слепков, благородных металлов: фарфора, золота или особого моделировочного воска. Вкладки и накладки закрепляются в отверстии зуба при помощи особых цементов или стоматологического клея. Вкладки и накладки обработанного зуба успешно сочетаются с остальными зубами, достигая тем самым естественный, равномерный вид.
Имплантаты, или как их еще называют, импланты, бывают разные, но мы освещаем стоматологические, функционально имитирующие корни нормальных зубов.
Они устанавливаются, как правило, вместо утраченных зубов, вернее, в их позицию. Импланты — это титановые «корни», установленные под десну в кость челюсти. После того как импланты поставлены, они срастаются с костью челюсти и являются уже искусственными корнями зубов. Затем к ним по определенной технологии и в определенной последовательности присоединяются искусственные зубы (коронки) — единичные или мостовидные протезы из нескольких коронок.
Главное преимущество имплантатов в том, что они неподвижно находятся в челюсти. По этой причине они создают идеальную опору для фиксации искусственных зубов. Коронки не двигаются, не скользят в полости рта. Это очень важно, когда вы разговариваете, смеетесь, едите.
Имплантаты, кроме того, что эстетически имитируют нормальные, здоровые зубы, предоставляют кости челюсти возможность функционировать, а значит, и не подвергаться рассасыванию, таким образом, сохраняя пропорции лица.